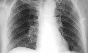
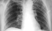
Dat meldt het AD na informatie van de GGD Midden-Nederland. De man waarbij open tbc is aangetroffen, wordt momenteel thuis behandeld. Bij de mensen met wie hij vaak contact heeft, is onderzoek verricht. Volgens de GGD is bij zeven van hen niet-besmettelijke tbc aangetroffen.
Omdat onder de directe contacten van de cafémedewerker besmettingen zijn aangetroffen, is het onderzoek van de GGD inmiddels uitgebreid naar mensen die minder intensief contact met hem hadden. De resultaten van het onderzoek worden volgende week verwacht.
Onderzoek bij bezoekers van De Karatoe is niet nodig, zo stelt de GGD. Dit omdat direct collega’s niet besmet zijn. Mocht alsnog besmetting bij cafépersoneel worden geconstateerd, dan worden eerst stamgasten getest.




